全基因组测序在线粒体疾病诊断中的应用
做出评论
看到评论
摘要
背景及目标线粒体疾病(MDs)是最常见的遗传性代谢疾病。表型多样性可以使分子诊断具有挑战性,致病遗传变异可能存在于线粒体或核DNA中。一个单一的全面的基因诊断测试将非常有用,并改变该领域。我们应用全基因组测序(whole genome sequencing, WGS)对该技术的变异检出率和诊断能力进行评估,以期简化和完善MD的诊断途径。
方法在澳大利亚悉尼的一家专业MD诊所就诊的成年患者,如果他们符合临床MD (Nijmegen)标准,就被招募到这项研究中。对血液DNA进行WGS,然后对已知的致病MD相关变异和MD模拟物进行临床遗传分析。
结果在连续招募的242名患者中,根据奈梅亨标准,62名参与者为“确定”,108名为“可能”,72名为“可能”。无论致病遗传变异的位置如何,共鉴定出130名参与者的致病变异,总诊断率为53.7%(242人中有130人)。鉴定致病基因变异为精确治疗提供了信息,恢复了生殖信心,优化了MD的临床管理。
讨论全面的双基因组测序可以准确地检测受影响的MD患者的致病遗传变异,简化诊断,实现早期治疗,并告知遗传传播的风险。
术语表
- AMACR=
- α-methylacyl-CoA消旋酶;
- CNV=
- 拷贝数变化;
- CPEO=
- 慢性进行性眼外肌麻痹;
- KSS=
- Kearns-Sayre综合症;
- 医学博士=
- 线粒体疾病;
- 米拉斯=
- 线粒体脑肌病、乳酸酸中毒和中风样发作;
- MIDD=
- 母亲遗传耳聋和糖尿病;
- 假正经的=
- 孟德尔式的人类遗传;
- mtDNA=
- 线粒体DNA;
- nDNA=
- 核DNA;
- SNV=
- 单核苷酸变体;
- SV=
- 结构变化;
- VAF=
- 变异等位基因频率;
- VUS开头=
- 意义不确定的变体;
- WGS=
- 全基因组测序
线粒体疾病(MDs)是最常见的遗传性代谢疾病,1该领域的新疗法现在开始出现。2,-,5然而,靶向治疗和生殖选择依赖于精确的分子诊断。MDs有限的基因型-表型相关性使得分子确认具有挑战性,尽管经过长时间的广泛调查,许多患者仍未确诊。6,-,8
MDs是独特的,因为它们可以由线粒体或核基因组的变异引起9,10对儿童和成人都有影响。尽管最低流行率研究估计,每4300个活产婴儿中就有1人患有MD,11基于社区的患病率研究表明,至少1:250的人携带致病线粒体DNA (mtDNA)变体,使他们有患MD的风险。12,-,14这突出表明,携带致病变异的高危个体中有很大比例未被诊断或仍然无症状。7受影响患者的临床严重程度从轻度、少症状疾病到严重、致命疾病不等。9,15成人的发病年龄各不相同,通常包括肌肉无力、疲劳、下垂、眼肌麻痹、听力丧失、糖尿病、癫痫、局灶性神经缺损和视力丧失。1,9,10,16标准的诊断标准是基于现有的临床数据,包括侵入性手术的结果,如肌肉活检,17但准确的诊断需要基因检测。9,10
目前,还没有一种单一的一线基因检测被整合到标准的MD诊断实践中。明确的诊断可能需要对数百个核基因和大部分线粒体基因组进行测序1,9,18;到目前为止,这个过程是不切实际的。更复杂的是,血液中的致病mtDNA变异随着年龄的增长而下降,因此可能不存在或只存在于低水平的异质性(变异与野生型mtDNA基因组的比例),19,20.需要采集其他组织,这可能是侵入性的。因此,受影响的成年患者在实现基因诊断之前,往往要经历漫长的诊断过程,8推迟知情计划生育和最佳医疗管理的好处。10,15,16未确诊的、症状少的成年携带者可能会在不知不觉中将疾病传给他们的孩子21或接受不适当的临床治疗。22
现在,全基因组测序(WGS)提供了同时对核基因组和线粒体基因组进行全面测序的能力,有可能在一次血液测试中捕获引起md的变体的完整光谱,从而简化诊断途径。15,23利用WGS提供线粒体基因组深度覆盖的能力,我们开发了一种生物信息学工具24能够识别血液中常见的低水平的异质性mtDNA变异。因此,我们确定了WGS在核基因组和线粒体基因组中识别已知致病变异的能力,并检查了WGS的诊断效用,就好像它被应用于一线“遗传学优先”。25对一大批疑似MDs患者进行血液检测。
方法
标准方案批准、注册和患者同意
所有患者均书面同意参加该研究,该研究得到了北悉尼当地卫生区人类研究伦理委员会(HREC/10/HAWKE/132)的批准。所有数据都进行了鉴别。
患者招募和样本
我们前瞻性地招募了2014年至2020年期间在澳大利亚悉尼皇家北岸医院线粒体疾病诊所复查的242名连续患者。如果患者满足可能的、可能的或确定的奈梅亨MD标准,他们就有资格加入研究。17虽然奈梅亨标准是在原发性MD患儿中制定的,但在这里使用奈梅亨标准是因为这些诊断标准中包含的临床表现反映了在MD患者中观察到的表型变异。9
来自41名已知致病变异(核DNA [nDNA]中有30个,mtDNA中有11个)参与者血液中的DNA样本和mtDNA缺失4.6 kb的卡恩斯-塞尔综合征(KSS)患者肌肉组织的DNA样本被用作“阳性对照”,用于评估WGS识别2个不同基因组中已知变异的能力(表1,links.lww.com/WNL/C92).
WGS和分析
采用标准方法从外周血中分离总基因组DNA。测序文库使用机器人仪器制备,并在澳大利亚悉尼Kinghorn临床基因组学中心的Illumina HiSeq X平台上测序。2 × 150 bp的读取产生至少110 Gb的原始测序数据,每个通道至少有30倍的nDNA覆盖。为了确定该试验的临床应用,盲法进行初始变异分析,且不考虑临床表型、家族史或先前已知的遗传结果。
核DNA分析
我们使用GATK最佳实践管道检测了小的nDNA变体26并使用我们的核变异过滤分析平台Seave来解释它们。27,28原始fastq文件使用BWA-MEM (v0.17.10-r789)与hs37d5参考基因组进行比对,结果BAM文件重复读取使用Novosort(默认设置)进行标记,读取比对使用GATK Indel alignment (v3.3)进行改进。26使用GATK HaplotypeCaller、基因型vcf和VQSR (v3.3)鉴定单核苷酸变异(SNVs)和短索引(<50 bp),26使用VEP (v87)注释,转换为GEMINI (v0.11.0)数据库,并导入Seave27过滤和优先级。我们使用ClinSV检测了核基因组和线粒体基因组中从50 bp到全染色体非整倍体的结构变异(SV)和拷贝数变异(CNV)。29数据分析使用R (v3.6.0)和RStudio (v1.2.1335),绘图使用ggplot2。
为了限制nDNA变异分析的搜索空间,我们策划了一个由249个MD基因组成的小组(表2,links.lww.com/WNL/C92), 400个神经肌肉疾病基因,30.对于未解决的病例,根据临床表型对视神经萎缩、代谢、发育障碍和其他与表型相关的基因组进行了额外的量身定制的个体搜索。变异是根据美国医学遗传学和基因组学学院2015年指南进行分类的,31考虑到“致病性”或“可能致病性”变异。意义不确定的变异(VUS)接近,但不足以被归类为可能致病,被归类为“有利于VUS致病”。31(表3),并被纳入诊断计数,因为很难获得IV类变异的支持证据。使用BigDye Xterminator试剂盒对ABI3100上的备用DNA样本进行桑格测序(Garvan分子遗传学,Garvan研究所,悉尼,澳大利亚),确认了致病变异。在可能的情况下对新鉴定的变异进行分离研究。
mtDNA分析
为了分析mtDNA中的snv和插入/删除(indel)变体,我们开发了一个名为“多螨的该软件以超灵敏模式运行FreeBayes24并精确计算变异质量,即使是非常低的异质变异。多螨的采用NA12878控制线的13个重复,2570个健康对照,32本研究中的1名患者有2个独立的基因组序列。我们优化分析参数如下:去除映射质量<30的Reads以减少核mtDNA的假阳性变异和假信号,只使用碱基质量≥24的碱基进行变体调用,并且我们要求一个变体至少有10个支持Reads或一个变体等位基因频率(VAF;即,携带该变体的读取数与所有读取数的比例)>1%。24我们使用VAF作为变异异质性的直接衡量标准。对于变异的解释,所有线粒体变异的顺序是降低VAF,优先考虑已知的致病变异和那些与MITOMAP表型相关的变异33还有文献。
确定…的能力ClinSV29我们研究了从KSS患者尸检时提取的肌肉中提取的DNA(样本42,表1,links.lww.com/WNL/C92).
焦磷酸测序
评估…的能力多螨的在测定WGS的mtDNA变异异质性时,我们比较了用多螨的以及对已知含有不同水平m.3243A>G变异的60个样本(50个来自个体患者的血液样本和10个来自2名患者的尸检组织样本)的定量焦磷酸测序。定制的m.3243A>G焦磷酸测序法由澳大利亚基因组研究机构(珀斯,澳大利亚)进行。使用m.3243附近500 bp区域的野生型或突变型gBlocks基因片段创建标准曲线(集成DNA技术,新加坡)。
远程PCR
为了确认mtDNA缺失存在于尿液沉积细胞DNA中,而在血液DNA中不存在,我们使用重叠引物和TaKaRa LA Taq将mtDNA扩增为一个完整的片段,如前所述。34
数据可用性
患者同意在临床环境中进行基因组检测,不同意发布原始或处理过的基因组数据。多螨的是在开源MIT许可下可用的,从github.com/KCCG/mity.
结果
病人群
我们招募了242例患者(女性149例,男性93例;eFigure 1,links.lww.com/WNL/C92), DNA样本平均年龄为49.5±16.8岁。根据奈梅亨MD标准,1762名参与者被划分为确定的,108名被划分为可能的,72名被划分为可能的。
WGS功能
nDNA和mtDNA在血液和其他组织中的覆盖率
WGS从血液DNA中提供了高深度的核和线粒体基因组覆盖。平均核基因组覆盖率达到30 - 40倍(图1一个), 80%的基因组被覆盖≥10×。WGS同时提供了3000 - 4000 ×线粒体基因组的平均覆盖率(图1 b), >90%的基因组覆盖到> 2000 ×。使用我们的分析管道多螨的,24我们能够检测到非常低水平(<1%)的异质性mtDNA变异。m.3243A>G异质性水平定量多螨的WGS分析与焦磷酸测序呈强相关(n = 50,R2= 0.994,图1 c),病理变异的检测降至0.35%的异质性负载(患者E53,表4,links.lww.com/WNL/C92),远低于焦磷酸测序的可靠检测限度(~ 5%)。35尽管这些超低水平的异质性可能很难在临床从头解释,但它们可以在血液中检测到这一水平的事实表明了血液中WGS变体检测的敏感性,但需要验证另一个组织中的变体以确认遗传诊断。
来自疑似线粒体疾病的成年参与者队列(n = 242)的(A)核和(B)线粒体基因组的平均测序覆盖深度。(C) m.3243A>G变异异质性通过WGS和焦糖测序对n = 50名诊断为m.3243A>G变异的患者的血液(黑色)和多个尸检组织(n = 10;彩色点)来自E9和E59患者。WGS与焦磷酸测序的异质性高度相关(R2= 0.994)。(C)中的颜色与(C)中的颜色一致图2不同的组织。MT =线粒体;全基因组测序。
对2例死于m.3243A>G的患者的血液和死后组织(n = 12)的分析表明,mtDNA的测序深度在血液中的~ 3000 ×到固体组织中的~ 20000 - 90000 ×之间,这些组织具有不同但高水平的异质性(图2,A-D).
诊断产量
使用WGS并应用多螨的,我们鉴定出57例致病nDNA变异患者和73例致病mtDNA变异患者(图3一,图1,links.lww.com/WNL/C92),总体诊断率为53.7%(242例中有130例;95% ci 47.2%-60.1%)。表3和表4总结了临床特征、家族史、奈梅亨MD标准分类和鉴定的变异。
ndna编码MDs的变异调用检测及其影响
57例患者发现有致病核基因变异,致病或可能致病变异位于AFG3L2,AMACR,进行MFN2,OPA1,POLG,SPG7,TWNK,TYMP,WFS1,YARS2(图3 b、图1、表3、links.lww.com/WNL/C92).此外,11例患者被鉴定为VUS,需要进一步研究其致病性,但发生在已知的md相关基因中(表3)。
核基因组CNVs
使用ClinSV,29我们还能够检测到CNVs和SVs,包括染色体4q26-q28.3的一种新的杂合16.4 Mb重新缺失(图3 c),先证者表现为癫痫发作、眼下垂、视神经萎缩、共济失调、肌病、糖尿病和复发性假性肠梗阻(患者B3,表3,links.lww.com/WNL/C92).缺失的基因包括PRSS12(智力发育障碍,常染色体隐性遗传1,孟德尔遗传在人[MIM] 249500),MRT29(智力发育障碍,常染色体隐性29,MIM 614333),以及SPATA5(癫痫、听力损失和神经发育障碍,MIM 616577),在交替等位基因上没有可检测到的致病变异。这一发现通过比较基因组杂交阵列得到证实,在先证者的父母中不存在。我们还检测到一个纯合外显子6缺失SPG7(图3 d一例痉挛性截瘫并发小脑性共济失调、眼肌麻痹和感觉神经病变的先证者(患者E75,表3)。
致病性mtdna编码MDs的检测与影响
我们鉴定出73例mtDNA变异致病患者(图3一,图1,links.lww.com/WNL/C92).使用多螨的,我们有信心在血液DNA中检测到广泛的mtDNA变异(图4一,表4),即使存在低水平的异质性(图4 b).
(A) WGS检测到的致病mtDNA变异数量和(B)相应的变异异质性。(C)血液中发现了两个线粒体DNA单缺失,均在1%以下的异质性。尸检肌肉中发现了一个线粒体缺失,异质性更高,为15.7%,在(D)中更详细地显示,这突出了测序覆盖率和跨越缺失的reads。mtDNA =线粒体DNA;全基因组测序。
使用ClinSV29为了鉴定和定量mtDNA缺失,我们在16%的异质性中检测到4.8 kb mtDNA缺失(3,780/24,080测序reads;图4,C和D)来自KSS患者肌肉组织的对照样本(样本42,表1,links.lww.com/WNL/C92).我们还能够在另外2名患者的血液DNA中检测到单个8 kb和5 kb mtDNA缺失,其异质性负载分别为0.29% (7/ 2435 reads)和0.61% (24/ 3917 reads) (图4 c;患者A10和C16,表4),并证实他们在其他组织中也有mtDNA缺失,例如肌肉或尿液(数据未显示)。
7例临床表现为慢性进行性眼外肌麻痹(CPEO)的患者,采用Southern blot或远程PCR检测肌肉或尿液中mtDNA缺失34(eTable 5,links.lww.com/WNL/C92).这些缺失没有被血液DNA的WGS检测到,可能是因为它们不存在于该组织中(图2)。这与已知的针对血液中mtDNA缺失的选择是一致的。20.
根据临床表型和年龄的诊断率
我们发现诊断率取决于目前的临床表型(图5),而不是使用奈梅亨标准进行疾病分类(图3A,links.lww.com/WNL/C92).当疑似MD患者表现出明确的临床表型(图5).对于视神经萎缩的个体,24人中有23人(95.8%;95% CI 79.8% ~ 99.3%)用WGS诊断(n = 17个ndna编码的MDs;n = 6 mtdna编码的MDs)。在出现中风样发作的患者中,28人中有17人(60.1%;95% CI 42.4% ~ 76.4%)诊断为ndna编码MDs (n = 3;n = 14 mtdna编码的MDs)和67例CPEO表型患者中的35例(52.2%;95% CI 40.5%-63.8%)也发现了分子原因(n = 31个ndna编码的MDs;n = 4 mtdna编码的MDs)。在我们的队列中,有13例m.3243A>G患者患有母系遗传性耳聋和糖尿病(MIDD)。 Diagnostic rates for nonsyndromic complex phenotypes (defined as >5 clinical features listed in the Nijmegen criteria) and oligosymptomatic phenotypes (defined as <5 clinical features listed in the Nijmegen criteria) were lower (10/43 complex = 23.3%; 95% CI 13.2%–37.8% and 26/61 oligosymptomatic = 42.6%; 95% CI 31.0%–55.1%) (图5).在年龄小于50岁的患者中,使用我们的WGS方案的诊断率较高(优势比2.29;95% ci 1.36-3.84,p< 0.002;eFigure 3 b)。
WGS证实的最终遗传诊断的临床影响
我们的方法导致了基因诊断,改变了患有核和mtdna编码疾病的患者的临床管理(例如,开始特定疾病的临床护理,避免特定疾病的禁忌护理,以及澄清生殖选择)。WGS确定了可治疗的MDs患者,包括线粒体神经胃肠脑病综合征(n = 3;可通过肝脏或异基因骨髓移植治疗36)和Leber遗传性视神经病变(n = 6;依地本酮或潜在的基因疗法治疗),以及识别患者的致病变异POLG,因此建议避免禁忌症药物,如丙戊酸,可导致暴发性肝功能衰竭或危及生命的癫痫持续状态,对MD的最佳管理是重要的。37,38此外,一名33岁女性(患者C44,表3,links.lww.com/WNL/C92)患有上睑下垂、视神经萎缩和近端肌无力的患者YARS2导致MLASA2怀孕,从WGS的发现中确信她不太可能将MD传播给她的孩子。39因此,我们能够通过获得明确的遗传诊断,为患者做出生育决定提供确定性。
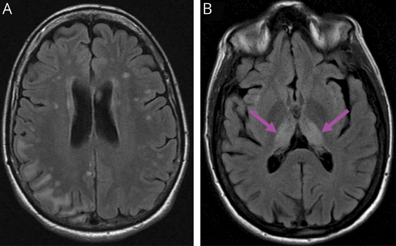
对于MD模拟物,WGS能够在更大的目标基因列表中检测变异,从而允许诊断和区分患有其他可治疗疾病的患者,从而对各自的疾病进行适当的护理和治疗,同时排除MD。3名患者被诊断为α-甲基酰基辅酶a消旋酶(AMACR)缺乏症。e1包括2姐妹(表1;B45和E19患者,表3,links.lww.com/WNL/C92),他们有癫痫、脑病和提示MD的中风样发作。随着AMACR缺陷的确认遗传诊断,他们接受了普里斯坦酸饮食限制的治疗40,41这导致症状改善。据报道,治疗前他们的大脑mri显示右侧顶枕皮质带或双侧丘脑T1高信号强度,提示诊断为MD (图6).此外,2名兄弟姐妹(表1;出现进行性眼外肌麻痹和近端肌无力的患者B42和B43(表3),发现在眼球中存在一种新的纯合剪接变异麝香基因(c.358 + 3 g > T;图4),随后用沙丁胺醇治疗。42
讨论
WGS全面和同时测序线粒体和核基因组,从血液DNA的高度覆盖,并与多螨的,我们能够在两个基因组中识别一系列snv、indels和cnv,从而实现对广泛的MD和MD mimics的精确遗传诊断。当应用于MD的一线诊断血液测试时,WGS实现了53.7%的总体诊断率,这一结果与以前使用其他下一代测序方法测序的遗传疾病队列相比,尽管它们具有更严格的选择标准。43,-,46重要的是,我们的发现证明了我们的综合双基因组测序诊断方法的简单性,大多数病例使用血液DNA,减轻了肌肉活检或从其他组织获取DNA的需要。
与靶向线粒体测序面板相比,WGS具有显著优势,后者不太全面,诊断率较低,47并且需要从肌肉或尿液中提取DNA来达到相同的检出率。虽然全外显子组测序在很大程度上提供了足够的nDNA蛋白质编码外显子的覆盖率,但mtDNA的平均覆盖率要低得多(约50倍),因此与WGS相比敏感性较低。48与WGS相比,nDNA和mtDNA的全外显子组测序是并行进行的,在文库制备过程中受到不完全覆盖和目标富集偏差的影响。进一步的好处是,WGS分析在识别CNVs和sv时提供了更强的能力,这在使用靶向测序面板或全外显子组测序时可能具有挑战性。49WGS检测灵敏度高,50结合多螨的,这对成人MD患者尤其重要,因为我们的研究表明,大多数确诊患者(130人中有73人;56.2%)有致病性mtDNA变异,而非nDNA变异(图3一).然而,当存在强烈的母体遗传模式和典型的临床表型表明特定的常见mtDNA变体时,替代方法,如对常见mtDNA致病变体进行RFLP分析(例如m.3243A>G或m.8344A>G)或完全mtDNA测序,可能更具成本效益,尽管需要考虑仔细选择组织来解决低异质性的问题。一旦用WGS鉴定出变异,亲属中的级联检测也可以使用诊断性靶向测序进行,尽管这些方法并不总是能提供所涉及的致病线粒体变异的异质性估计。
当患者通过深层临床表型进行分层时,诊断率进一步提高(高达95%),这巩固了临床专业知识和评估与我们的WGS管道相结合的关键价值。我们证明,对特定临床表型(如CPEO、视神经萎缩和卒中样发作(MELAS))的高临床怀疑指数和知识,都证明了两个基因组之间的遗传异质性,证明了同时使用WGS进行双基因组分析(图5,表3及4,links.lww.com/WNL/C92).WGS诊断率因具体表型而异;表现为视神经萎缩、MELAS、CPEO或MIDD的患者比表现为非综合征、复杂表型的患者有更高的诊断率,这可能表明MD模拟患者仍可能满足标准的临床诊断标准(图5).
这里强调的一个重要限制是从血液中提取的DNA使用WGS时,可能不存在mtDNA缺失20.因此,使用这种容易获得和经常使用的组织(图5,图2,links.lww.com/WNL/C92).因此,在怀疑有单个或多个mtDNA缺失的CPEO或KSS表型患者中,为了增加缺失的检测,如果最初的血液测序未能识别致病变异,或者如果WGS仅识别出低水平的异质性mtDNA缺失,则可能需要对替代组织(如肌肉、唾液或尿液)进行WGS或远程PCR。尽管有这样的警告,我们的研究仍然使用WGS诊断了52.2%的CPEO患者,显示了血液DNA初始检测的价值。
在我们的分析中,我们还考虑了神经肌肉疾病相关基因的变异,并确定了到我们诊所就诊的患有类似MD疾病的患者(例如,先天性肌无力和神经棘细胞增多症),尽管这些患者的肌肉活检异常和临床症状与MD诊断一致(表1).分子诊断的提供和MD模拟的确认导致了医疗管理的变化(表1),并告知他们将疾病遗传给后代的风险。此外,3例提示MELAS或Leigh综合征的神经系统表现(局灶性神经功能缺损、与脑MRI异常相关的癫痫发作)患者被确定为AMACR缺陷e1(图6,表3,links.lww.com/WNL/C92),证明WGS能够通过识别通过简单的饮食限制可以治疗的疾病来改变临床管理,41以及为具有治疗选择的MD表型提供诊断(表1).
确定MD的精确遗传原因在临床上是重要的,并阐明了受影响的患者及其家庭的生殖选择。例如,具有致病性nDNA变异的患者可以进行产前遗传诊断,而具有致病性mtDNA变异的患者现在可以考虑新的体外受精选择,线粒体捐赠。21,50WGS的这一优势进一步被其量化血液中mtDNA异质性的能力所支持,因为这提供了关于mtDNA疾病中疾病传播的预测信息。21
本研究的一个局限性是,我们保守地将我们的变异呼吁限制在已知的致病变异和那些满足严格的致病性分类标准的变异。虽然诊断率高,但仍有部分患者未确诊。这些患者可能在尚未发现或与MD相关的新疾病基因中存在致病变异。此外,后续分析可能揭示非编码区域的致病变异为非典型剪接变异或组织特异性mtDNA变异。其他患者可能存在已知疾病基因的VUS,需要通过功能研究确认其致病性(表3,links.lww.com/WNL/C92).此外,mtDNA变异(特别是缺失)通常会随着年龄的增长在血液中消失19,20.可能更难发现。利用更新的变异和基因列表进行再分析,以及对新变异进行进一步的功能基因组研究,有可能在未来确定更多的诊断。如果可以招募父母,WGS的三重分析可能通过改进常染色体隐性或新生核疾病的过滤进一步提高诊诊率。52然而,对于成年MD患者来说,这往往具有挑战性,而家族分离研究可能是唯一的选择,尽管由于各种原因(疾病外显率、保险考虑和家庭成员的否认),这些研究也可能具有挑战性。
在本研究中,我们没有比较来自不同组织(如肌肉或尿液)的WGS的诊断效用,也没有与其他诊断方法(如有限基因板、WES、远程PCR和全mtDNA基因组测序)进行比较。相反,我们应用标准的临床情况来确定WGS作为单一诊断测试的能力,该测试可以标准化、规模化和广泛实施。尽管直接基因检测或全线粒体基因组测序可能导致某些具有典型临床表现的患者的遗传诊断得到确认,但考虑到这种疾病的有限基因型-表型相关性,9WGS可能被证明更具成本效益,并可能随着成本的降低而成为首选,特别是考虑到本研究中观察到的高诊断率。目前,WGS的成本正在下降,并将变得更容易获得,需要证据和分析管道,如本文所述,以支持其未来用于MD诊断的常规临床应用。与传统的基因检测方法(如靶向mtDNA变异、单基因或基因组分析)相比,进一步评估WGS的成本效益将是重要的,因为在大量家庭成员中进行定向基因检测的单一诊断性血液检测的好处是相当大的诊断时间和检测成本。53
通过WGS从血液中全面同时测序线粒体和核基因组是一种准确和微创的诊断MDs患者的测试,避免了组织活检,并有能力改变MD诊断途径。早期基因诊断、适当的干预和治疗、避免不良事件、降低不适当治疗的成本以及预防疾病遗传的潜力都是引入我们的WGS分析管道可以实现的优势,并强调了将WGS整合到未来的临床实践中的好处。
研究资金
该项目由新南威尔士州卫生部合作基因组学赠款(Sue_2014_Genomics;c.m.s., j.c., m.e.d., d.s., r.l.d., k.r.k)。
信息披露
R.L. Davis和M.J. Cowley是新南威尔士州卫生EMC奖学金的获得者。K.R. Kumar是NHMRC ECRF (APP1091551)的接受者,并获得迈克尔J.福克斯基金会全球帕金森病遗传学项目的研究津贴,该项目与当前研究无关。C.M. Sue是NHMRC从业者研究员(APP1136800)。M.J. Cowley接受新南威尔士州卫生部资助的儿童健康发光联盟的资助。作者报告没有披露与手稿相关的信息。去半岛投注体育官网Neurology.org/N全面披露。
鸣谢
作者感谢Kinghorn临床基因组学中心在基因组测序数据的生产和处理方面的帮助,以及患者参与这项研究。
附录的作者
脚注
去半岛投注体育官网Neurology.org/N全面披露。作者认为相关的资金信息和披露(如果有的话)将在文章末尾提供。
↵*这些作者作为共同第一作者对这项工作做出了同样的贡献。
↵__这些作者作为共同资深作者对这项工作做出了同样的贡献。
文章处理费由作者出资。
提交并经外部同行评审。处理编辑是Anthony Amato, MD, FAAN和José Merino, MD, MPhil, FAAN。
- 收到了2021年9月18日。
- 最终接受2022年4月4日。
- 版权所有©2022由Wolters Kluwer健康公司代表美国神经病学学会出版。半岛投注体育官网
这是一篇开放获取的文章,根据创作共用署名-非商业性-非衍生品许可4.0 (CC BY-NC-ND),该网站允许下载和分享论文,前提是论文被正确引用。未经本刊许可,不得以任何方式更改作品或将其用于商业用途。
参考文献
- 1.↵
- 戈尔曼GS,
- ChinneryPF,
- DiMauro年代,等
- 2.↵
- 3.↵
- CarelliV,
- Carbonelli米,
- 德首席运营官如果,等
- 4.↵
- Cabrera-PerezR,
- Vila-JuliaF,
- Hirano米,等
- 5.↵
- KaraarslanC
- 6.↵
- 7.↵
- 8.↵
- 9.↵
- 戴维斯RL,
- 梁C,
- 苏厘米
- 10.↵
- 11.↵
- 12.↵
- 13.↵
- 14.↵
- 15.↵
- 梁C,
- 艾哈迈德K,
- 苏厘米
- 16.↵
- 梁C,
- 苏厘米
- 17.↵
- 18.↵
- 19.↵
- 20.↵
- 21.↵
- 皮克特SJ,
- 痘痘一个,
- Ngy,等
- 22.↵
- 23.↵
- 24.↵
- •帕蒂克C,
- 库马尔基米-雷克南,
- 戴维斯RL,等
- 25.↵
- 沃森E,
- 戴维斯RL,
- 苏厘米
- 26.↵
- 27.↵
- 28.↵
加文研究所,2018年。https://seave.public.garvan.org.au/.
- 29.↵
- MinocheAE,
- 霍尔瓦特C,
- 约翰逊R,等
- 30.↵
Orphanet.2015年5月访问。orpha.net.
- 31.↵
- 32.↵
- 33.↵
- 34.↵
- 35.↵
- 36.↵
- 37.↵
- 38.↵
- 39.↵
- Rudaks李,
- 沃森E,
- OboudiyatC,等
- 40.↵
- 史密斯嗯,
- GavrilovDK,
- OglesbeeD,等
- 41.↵
- 42.↵
- 43.↵
- 44.↵
- 45.↵
- 46.↵
- 47.↵
- 48.↵
- 阁楼P,
- 布里斯C,
- ProcaccioV,等
- 49.↵
- 50.↵
- 51.
- 52.↵
- 克拉克毫米,
- 斯塔克Z,
- Farnaesl,等
- 53.↵
参考文献e1-e30可以在这里访问:lww.com/WNL/C92
- 斯科菲尔德D,
- 阿拉姆K,
- 道格拉斯l,等
信件:快速在线通信
-
作者回应:利用全基因组测序诊断线粒体疾病
- 瑞安L戴维斯,研究员,悉尼大学
- 基肖尔R库马尔,神经学家,悉尼大学
- 埃路易斯沃森,神经学家,悉尼大学
- 卡洛琳米苏,神经学家,悉尼大学
2022年7月27日提交 -
读者回应:全基因组测序用于线粒体疾病诊断
- 凯瑟琳·R肖恩,临床研究员,剑桥大学
- 帕特里克·FChinnery,神经学家,剑桥大学
2022年7月14日提交
需求
如果你要上传关于文章的信件:
您必须在六个月内更新您的披露:http://submit.半岛投注体育官网neurology.org
您的合著者必须发送一份完整的出版协议表格来半岛投注体育官网(对于主要/通讯作者不需要填写以下表格即可),然后再上传您的评论。
如果你在回复一篇关于你最初撰写的文章的评论:
您(和共同作者)不需要填写表格或检查披露,因为作者表格仍然有效
并适用于信件。
提交规格:
- 文章必须少于200字,参考文献少于5篇。参考文献1必须是你所评论的文章。
- 投稿者不得超过5人。(例外:原作者回复可以包括文章的所有原作者)
- 只可提交发稿日起6个月内发表的文章。
- 不要冗余。在提交之前阅读文章上已经发布的任何评论。
- 提交的意见在发表前须经过编辑和编辑审查。


