2023年1月24日
;100 (4)
住院医师及研究员组
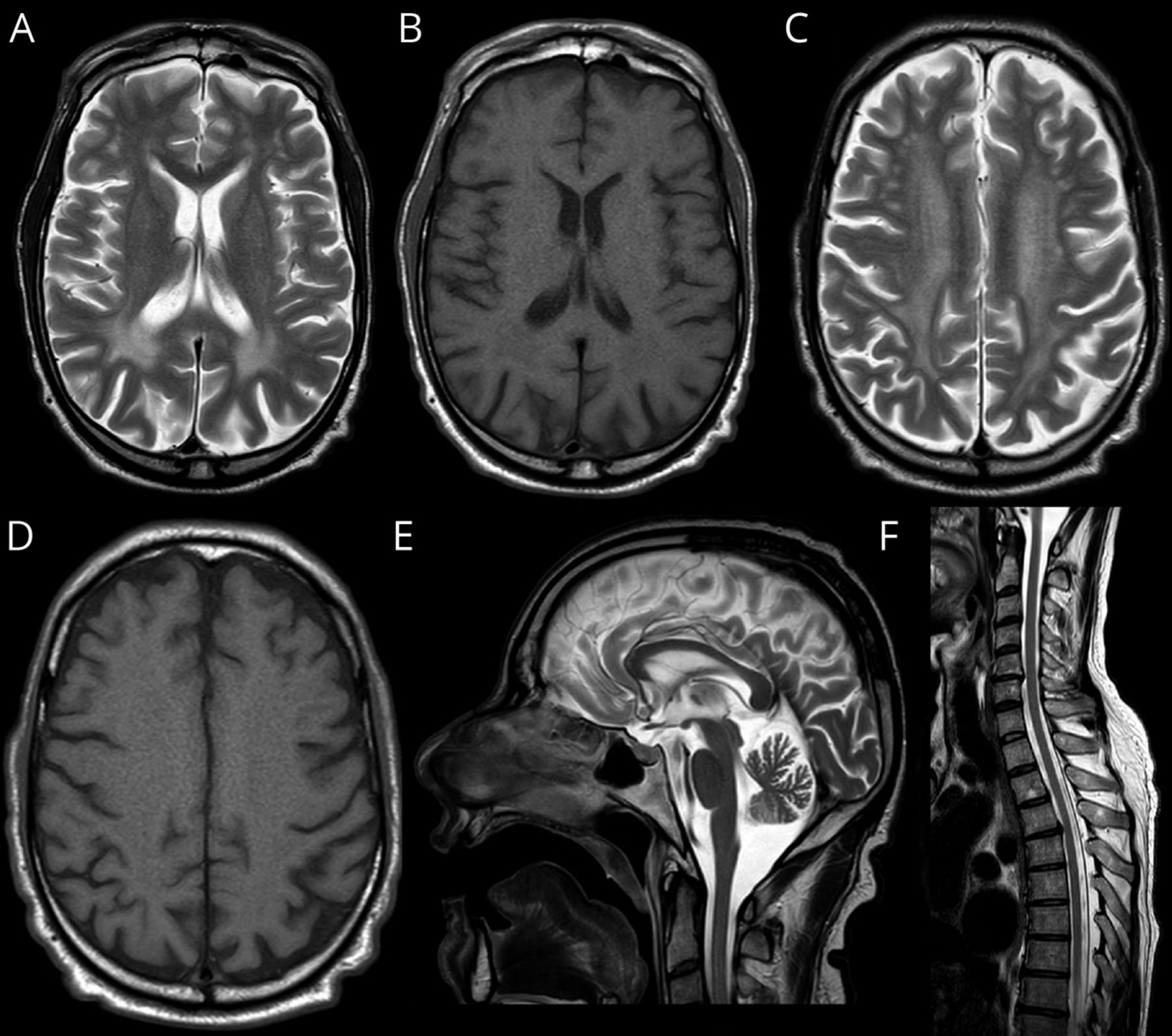
临床推理:一年轻男子亚急性发作痉挛性肢体麻痹
萨尔瓦多罗西,Paola Concolino,丹尼尔·迪纳塔莱,Domizia Pasquetti,Giuseppe Maria Di Lella,Pietro Chiurazzi,查看ORCID配置文件加布里埃尔Silvestri
第一次出版2022年10月27日
DOI: https://doi.org/10.1212/WNL.0000000000201516
萨尔瓦多罗西
来自科学研究所(s.r., d.d.n., G.S.),神经病学,Ortopediche e della Testa-Collo, UOC神经病学,A. Gemelli大学警察基金会IRCCS,罗马,意大利;Dipartimento di neuroscience Università Cattolica del Sacro Cuore (S.R., D.D.N., G.S.), Facoltà di Medicina e Chirurgia,罗马,意大利;UOC化学(Paola Concolino),生物化学和生物分子临床-区域诊断实验室,A. Gemelli大学政策基金会IRCCS,罗马,意大利;基因组医学研究所(Pietro Chiurazzi博士),Università天主教圣心教堂,罗马,意大利;诊断成像(G.M.D.L.),肿瘤放射治疗和血液学,UOC神经放射学,阿戈斯蒂诺·吉梅利大学警察基金会IRCCS和Università天主教圣心,00168罗马,意大利;和UOC遗传学医学(Pietro Chiurazzi), funddazione Policlinico Universitario“A。Gemelli“IRCCS,罗马,意大利。
Paola Concolino
来自科学研究所(s.r., d.d.n., G.S.),神经病学,Ortopediche e della Testa-Collo, UOC神经病学,A. Gemelli大学警察基金会IRCCS,罗马,意大利;Dipartimento di neuroscience Università Cattolica del Sacro Cuore (S.R., D.D.N., G.S.), Facoltà di Medicina e Chirurgia,罗马,意大利;UOC化学(Paola Concolino),生物化学和生物分子临床-区域诊断实验室,A. Gemelli大学政策基金会IRCCS,罗马,意大利;基因组医学研究所(Pietro Chiurazzi博士),Università天主教圣心教堂,罗马,意大利;诊断成像(G.M.D.L.),肿瘤放射治疗和血液学,UOC神经放射学,阿戈斯蒂诺·吉梅利大学警察基金会IRCCS和Università天主教圣心,00168罗马,意大利;和UOC遗传学医学(Pietro Chiurazzi), funddazione Policlinico Universitario“A。Gemelli“IRCCS,罗马,意大利。
丹尼尔·迪纳塔莱
来自科学研究所(s.r., d.d.n., G.S.),神经病学,Ortopediche e della Testa-Collo, UOC神经病学,A. Gemelli大学警察基金会IRCCS,罗马,意大利;Dipartimento di neuroscience Università Cattolica del Sacro Cuore (S.R., D.D.N., G.S.), Facoltà di Medicina e Chirurgia,罗马,意大利;UOC化学(Paola Concolino),生物化学和生物分子临床-区域诊断实验室,A. Gemelli大学政策基金会IRCCS,罗马,意大利;基因组医学研究所(Pietro Chiurazzi博士),Università天主教圣心教堂,罗马,意大利;诊断成像(G.M.D.L.),肿瘤放射治疗和血液学,UOC神经放射学,阿戈斯蒂诺·吉梅利大学警察基金会IRCCS和Università天主教圣心,00168罗马,意大利;和UOC遗传学医学(Pietro Chiurazzi), funddazione Policlinico Universitario“A。Gemelli“IRCCS,罗马,意大利。
Domizia Pasquetti
来自科学研究所(s.r., d.d.n., G.S.),神经病学,Ortopediche e della Testa-Collo, UOC神经病学,A. Gemelli大学警察基金会IRCCS,罗马,意大利;Dipartimento di neuroscience Università Cattolica del Sacro Cuore (S.R., D.D.N., G.S.), Facoltà di Medicina e Chirurgia,罗马,意大利;UOC化学(Paola Concolino),生物化学和生物分子临床-区域诊断实验室,A. Gemelli大学政策基金会IRCCS,罗马,意大利;基因组医学研究所(Pietro Chiurazzi博士),Università天主教圣心教堂,罗马,意大利;诊断成像(G.M.D.L.),肿瘤放射治疗和血液学,UOC神经放射学,阿戈斯蒂诺·吉梅利大学警察基金会IRCCS和Università天主教圣心,00168罗马,意大利;和UOC遗传学医学(Pietro Chiurazzi), funddazione Policlinico Universitario“A。Gemelli“IRCCS,罗马,意大利。
Giuseppe Maria Di Lella
来自科学研究所(s.r., d.d.n., G.S.),神经病学,Ortopediche e della Testa-Collo, UOC神经病学,A. Gemelli大学警察基金会IRCCS,罗马,意大利;Dipartimento di neuroscience Università Cattolica del Sacro Cuore (S.R., D.D.N., G.S.), Facoltà di Medicina e Chirurgia,罗马,意大利;UOC化学(Paola Concolino),生物化学和生物分子临床-区域诊断实验室,A. Gemelli大学政策基金会IRCCS,罗马,意大利;基因组医学研究所(Pietro Chiurazzi博士),Università天主教圣心教堂,罗马,意大利;诊断成像(G.M.D.L.),肿瘤放射治疗和血液学,UOC神经放射学,阿戈斯蒂诺·吉梅利大学警察基金会IRCCS和Università天主教圣心,00168罗马,意大利;和UOC遗传学医学(Pietro Chiurazzi), funddazione Policlinico Universitario“A。Gemelli“IRCCS,罗马,意大利。
Pietro Chiurazzi
来自科学研究所(s.r., d.d.n., G.S.),神经病学,Ortopediche e della Testa-Collo, UOC神经病学,A. Gemelli大学警察基金会IRCCS,罗马,意大利;Dipartimento di neuroscience Università Cattolica del Sacro Cuore (S.R., D.D.N., G.S.), Facoltà di Medicina e Chirurgia,罗马,意大利;UOC化学(Paola Concolino),生物化学和生物分子临床-区域诊断实验室,A. Gemelli大学政策基金会IRCCS,罗马,意大利;基因组医学研究所(Pietro Chiurazzi博士),Università天主教圣心教堂,罗马,意大利;诊断成像(G.M.D.L.),肿瘤放射治疗和血液学,UOC神经放射学,阿戈斯蒂诺·吉梅利大学警察基金会IRCCS和Università天主教圣心,00168罗马,意大利;和UOC遗传学医学(Pietro Chiurazzi), funddazione Policlinico Universitario“A。Gemelli“IRCCS,罗马,意大利。
加布里埃尔Silvestri
来自科学研究所(s.r., d.d.n., G.S.),神经病学,Ortopediche e della Testa-Collo, UOC神经病学,A. Gemelli大学警察基金会IRCCS,罗马,意大利;Dipartimento di neuroscience Università Cattolica del Sacro Cuore (S.R., D.D.N., G.S.), Facoltà di Medicina e Chirurgia,罗马,意大利;UOC化学(Paola Concolino),生物化学和生物分子临床-区域诊断实验室,A. Gemelli大学政策基金会IRCCS,罗马,意大利;基因组医学研究所(Pietro Chiurazzi博士),Università天主教圣心教堂,罗马,意大利;诊断成像(G.M.D.L.),肿瘤放射治疗和血液学,UOC神经放射学,阿戈斯蒂诺·吉梅利大学警察基金会IRCCS和Università天主教圣心,00168罗马,意大利;和UOC遗传学医学(Pietro Chiurazzi), funddazione Policlinico Universitario“A。Gemelli“IRCCS,罗马,意大利。
做出评论
看到评论
文章图片及数据
数据
表
信件:快速在线通信
本文尚未发表评论。
需求
如果你要上传关于文章的信件:
您必须在六个月内更新您的披露:http://submit.半岛投注体育官网neurology.org
您的合著者必须发送一份完整的出版协议表格来半岛投注体育官网(对于主要/通讯作者不需要填写以下表格即可),然后再上传您的评论。
如果你在回复一篇关于你最初撰写的文章的评论:
您(和共同作者)不需要填写表格或检查披露,因为作者表格仍然有效
并适用于信件。
提交规格:
- 文章必须少于200字,参考文献少于5篇。参考文献1必须是你所评论的文章。
- 投稿者不得超过5人。(例外:原作者回复可以包括文章的所有原作者)
- 只可提交发稿日起6个月内发表的文章。
- 不要冗余。在提交之前阅读文章上已经发布的任何评论。
- 提交的意见在发表前须经过编辑和编辑审查。


