跳到主要内容
广告
  • 半岛投注体育官网Neurology.org
  • 期刊
    • 半岛投注体育官网
    • 临床实践
    • 教育
    • 遗传学
    • 神经免疫学与神经炎症
  • 在线部分
    • 半岛投注体育官网神经病学视频杂志俱乐部
    • 多样性、公平和包容(DEI)
    • 护理服务的创新
    • 实践的嗡嗡声
    • 当前实践
    • 住院医师和研究员
    • 无国界
  • 半岛综合体育app入口官方
    • 新型冠状病毒肺炎
    • 争议与争论
    • 健康差异
    • 信息图
    • bdapp
    • 零假设
    • bdapp1中国有限公司
    • 话题无所不包的
    • bdappcom
  • bd官方平台
  • 芝加哥商品交易所
  • 关于
    • 关于期刊
    • bdapp.
    • 编辑委员会
  • 作者
    • 提交新稿件
    • 提交修改稿
    • 作者中心

高级搜索

主菜单

  • 半岛投注体育官网Neurology.org
  • 期刊
    • 半岛投注体育官网
    • 临床实践
    • 教育
    • 遗传学
    • 神经免疫学与神经炎症
  • 在线部分
    • 半岛投注体育官网神经病学视频杂志俱乐部
    • 多样性、公平和包容(DEI)
    • 护理服务的创新
    • 实践的嗡嗡声
    • 当前实践
    • 住院医师和研究员
    • 无国界
  • 半岛综合体育app入口官方
    • 新型冠状病毒肺炎
    • 争议与争论
    • 健康差异
    • 信息图
    • bdapp
    • 零假设
    • bdapp1中国有限公司
    • 话题无所不包的
    • bdappcom
  • bd官方平台
  • 芝加哥商品交易所
  • 关于
    • 关于期刊
    • bdapp.
    • 编辑委员会
  • 作者
    • 提交新稿件
    • 提交修改稿
    • 作者中心
  • 首页
  • 最新文章
  • 最新一期
  • 过去的问题
  • 半岛投注体育官网神经病学视频杂志俱乐部
  • 住院医师和研究员

用户菜单

  • 订阅
  • 我的提醒
  • 登录

搜索

  • 高级搜索
半岛投注体育官网
首页
最广泛阅读和高度引用的同行评议神经学杂志半岛投注体育官网
  • 订阅
  • 我的提醒
  • 登录
网站的标志
  • 首页
  • 最新文章
  • 最新一期
  • 过去的问题
  • 半岛投注体育官网神经病学视频杂志俱乐部
  • 住院医师和研究员

分享

2023年3月21日 ;100 (12) 住院医师及研究员组

珍珠和Oy-sters:三叉神经囊性神经鞘瘤表现为福斯特肯尼迪综合征,第六神经麻痹和局灶性癫痫

查看ORCID配置文件Yasamin Mahjoub,米兰达广域网,苏雷什苏
第一次出版2022年12月19日, DOI: https://doi.org/10.1212/WNL.0000000000201700
Yasamin Mahjoub
卡尔加里大学临床神经科学系(Y.M, M.W, S.S.);加拿大卡尔加里大学外科(S.S.)。
  • 在谷歌Scholar网站上找到这位作者
  • 在PubMed上找到这位作者
  • 在这个网站上搜索这位作者
  • 亚萨明·马贾布的ORCID记录
米兰达广域网
卡尔加里大学临床神经科学系(Y.M, M.W, S.S.);加拿大卡尔加里大学外科(S.S.)。
  • 在谷歌Scholar网站上找到这位作者
  • 在PubMed上找到这位作者
  • 在这个网站上搜索这位作者
苏雷什苏
卡尔加里大学临床神经科学系(Y.M, M.W, S.S.);加拿大卡尔加里大学外科(S.S.)。
  • 在谷歌Scholar网站上找到这位作者
  • 在PubMed上找到这位作者
  • 在这个网站上搜索这位作者
完整的PDF
引用
珍珠和Oy-sters:三叉神经囊性神经鞘瘤表现为福斯特肯尼迪综合征,第六神经麻痹和局灶性癫痫
YasaminMahjoub,米兰达湾,苏雷什苏
半岛投注体育官网 2023年3月, One hundred. (12) 587 - 590; DOI:10.1212 / WNL.0000000000201700

引文管理器格式

  • 助理
  • 书挡
  • 值得
  • 尾注(标记)
  • EndNote 8 (xml)
  • 枸杞
  • Mendeley
  • 论文
  • RefWorks标记
  • Ref经理
  • RIS
  • Zotero
权限

做出评论

看到评论

下载
0

分享

  • 文章
  • 图表和数据
  • 信息和披露
加载

摘要

Foster Kennedy综合征是指由于颅内压升高引起的非萎缩性视神经肿块和对侧视神经乳头水肿直接压迫视神经而导致的单眼视神经萎缩。当眼底镜检查发现不是由于直接压缩质量,术语伪福斯特肯尼迪综合征使用;这可能是由导致一只眼睛视神经萎缩和另一只眼睛视神经盘水肿的任何一个或多个过程引起的。识别福斯特肯尼迪综合征的病人需要权宜之计神经影像学寻找颅内肿块病变。在这篇文章中,我们提出的情况下,患者表现为视力丧失和福斯特肯尼迪综合征谁被发现有一个大的三叉神经囊性神经鞘瘤。虽然其他一些伴随症状从患者的主诉中不明显,但仔细的病史和体格检查揭示了额外的定位线索:面部和翼状肌和咬肌萎缩的单侧感觉改变,单侧脑神经VI麻痹,以及强烈的déjà vu感觉发作,这些被认为代表颞叶发作的局灶性意识癫痫。三叉神经鞘瘤是一种罕见的实体,甚至更罕见的囊性。这个病例强调了一个不寻常的情况,肿瘤缓慢扩张最终导致视力丧失和患者的医疗关注。

珍珠

  • 一只眼睛视神经萎缩,另一只眼睛视神经乳头水肿,是福斯特-肯尼迪综合征的征兆,也可能是无痛生长缓慢的肿瘤的表现。

  • 福斯特-肯尼迪综合征的发现应该促使加快神经影像学检查。

  • 交界性盲点是一种视觉丧失模式,包括同侧中央和对侧颞上视场丧失,提示视神经和视交叉交界处的病变。

  • 脑神经III、IV、VI及脑神经V的眼支和上颌支受累可能提示海绵窦定位。

Oy-sters

  • 伪福斯特-肯尼迪综合征是指由非压迫性肿块病变引起的单眼视神经萎缩和另一只眼的椎间盘水肿,最常见的是双侧继发性非动脉缺血性视神经病变。一旦肿块病变被排除,应进行调查以评估其他原因。

  • 考虑神经眼科检查之外伴随的神经症状和体征。

一名28岁健康男性因右眼无痛性视力丧失5个月就诊于神经眼科门诊。他报告逐渐发作的中央暗点,在此期间扩大到包括他的整个视野。在进一步回顾病史时,他描述了4年的间歇性双眼水平复视病史,右眼复视更严重。他还注意到强烈的déjà似曾相识的感觉,接着是味觉和嗅觉的改变和上腹感的上升。这些事件将持续30秒,并在整个过程中保持清醒。他还指出,他的右上脸长期麻木,他认为这是以前做过牙医造成的。神经系统检查,患者右眼视敏度为光感,左眼视敏度为20/30。Humphrey自动视野检查显示右眼有密集的中央视野缺损,左眼有颞上方视野缺损(图1).右眼无法评估色觉,左眼正常。右侧相对传入瞳孔缺损。眼底镜检查发现右眼视盘苍白,左眼视盘水肿(图1).光学相干断层扫描显示右侧视网膜神经纤维层(RNFL)变薄,平均厚度为68 μ m,左侧水肿,平均RNFL厚度为141 μ m。外视系统检查显示原位内斜视,右眼内斜视加重。右眼外展受限,与右脑神经瘫痪相符。除此之外,眼跳、追逐顺畅均正常,无上睑下垂,瞳孔圆形,大小相等,对光有反应。其余脑神经检查显示右面部轻触感觉下降,三叉神经所有3支分支分布正常,右翼肌和咬肌无力和萎缩。

图1
  • 下载图
  • 在新标签页打开
  • 下载演示文稿
图1 眼底照片、视野及交界性暗点图

(A)眼底照片右侧视盘苍白,左侧视盘水肿;(B)使用Humphrey自动视野测量的视野显示右侧为致密凹陷,左侧为颞外缺损;(C)轴向CT头部图像叠加的交界性暗点示意图。病变引起同侧(右眼)视神经压迫(紫色线)和致密视野凹陷。此外,来自对侧(左眼)(红线)的鼻下视网膜纤维受到压迫,导致颞上缺损。这种类型的视力丧失被称为交界性盲点,提示视神经和交叉交界处的病变。

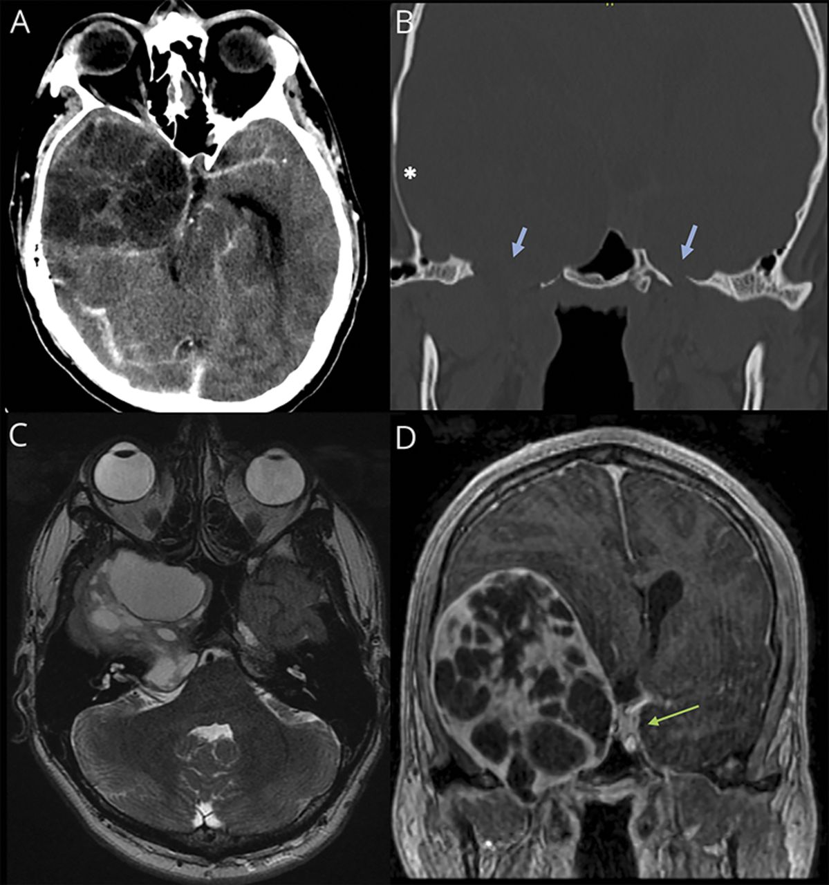
急诊CT增强头显示右额叶轴外肿物,有明显肿物效应,中线移位,伴左侧脑室压迫,基底池淤积(图2).邻近骨重塑,提示长期病变。脑部MRI增强成像进一步显示,一个巨大的多囊性边缘强化轴外肿块占据右侧中颅窝大部分区域,延伸至右侧眶尖、眶上裂、卵圆孔、海绵窦、梅克尔洞和右侧桥小脑角池,伴脑桥脑和小脑中梗受压。病人被收治到神经外科。脑电图显示中度全身性背景减慢,右半球更糟,没有任何间期癫痫样放电、癫痫发作或任何déjà vu事件被捕获。然而,基于临床原因,患者开始使用苯妥英。病变分2期切除。组织学上主要由Antoni A梭形细胞交错组成,有少量Antoni B结构区域和含铁血黄素沉积和退化灶。这与来自三叉神经的WHO I级神经鞘瘤一致。术后,患者右眼视力保持不变,而左眼视力略有改善至20/25。 He continued to have limitation of right eye abduction and occasional paresthesia involving the right hemiface. The episodes of déjà vu resolved.

图2
  • 下载图
  • 在新标签页打开
  • 下载演示文稿
图2 CT和MRI显示一个巨大的囊性肿瘤

CT头部造影剂(A)显示右侧中颅窝大面积不均质病灶,肿块效应;骨窗(B)显示右侧邻近颅骨(星号)变薄和重塑,两侧卵圆孔标记(蓝色箭头),显示右侧肿块扩张。轴向T2 MR (C)显示不均质哑铃状多分叶肿物。冠状位T1后增强MR (D)图像显示囊性环增强肿块;绿色箭头所示为未受影响左侧海绵窦,显示肿块延伸至右侧海绵窦。

讨论

这个病例描述了一个病人最初表现为亚急性视力丧失谁被发现有一个巨大的三叉神经囊性神经鞘瘤。临床检查提供了一些神经解剖定位线索,以紧急神经影像学和快速神经外科会诊的形式指导重点检查。视力丧失、视盘苍白伴对侧视神经乳头水肿的临床表现符合Foster Kennedy综合征,即肿块病变直接压迫同侧视神经导致视神经萎缩,而肿块引起的颅内压升高导致对侧非萎缩侧视神经乳头水肿。1美国著名的神经学家福斯特·肯尼迪描述了这种同名综合征(值得注意的是,他以赞成优生学的观点而闻名,主张消除或绝育受损的个体。2从这个历史角度来看,或许有理由重新命名该综合征。)福斯特肯尼迪综合征的典型病因是嗅沟、镰状突、蝶翼或额下脑膜瘤。1然而,理论上任何压迫病变都可能导致这种表现,其他报道的病因包括额部脓肿、颅咽管瘤、垂体腺瘤、浆细胞瘤、成神经细胞瘤、鼻咽血管纤维瘤和动脉瘤。1

视野丧失的模式与视神经和交叉交界处的病变压迫同侧视神经引起中心性盲点,并影响对侧眼的鼻下视网膜交叉纤维,导致该眼的颞上盲点(图1).相比之下,Traquair交界性暗点包括单眼鼻或颞部偏视,由视神经和交叉连接处的病变引起,但仅影响鼻或颞部纤维。导致这两种视野模式的最常见原因是垂体腺瘤;其他原因包括其他压迫性肿瘤(如颅咽管瘤、星形细胞瘤或脑膜瘤)。3.

同侧脑神经VI麻痹伴三叉神经眼支和上颌支累及提示海绵窦定位。颅神经VI和眼支受累(不包括上颌支)也可引起眶上裂或眶尖定位。然而,下颌分支也有受累,表现为下面部感觉改变、运动无力以及翼肌和咬肌萎缩,很可能是三叉神经近端受累。最后,他反复发作的强烈déjà vu被认为是局灶性意识颞叶癫痫,意味着病变延伸到颞区。综上所述,这些结果提示有一个影响多个脑神经、视交叉和颞叶的大压迫病变。

当对侧眼视神经萎缩和椎间盘水肿的合并是由压迫性肿块病变以外的病因引起时,使用术语“伪福斯特-肯尼迪综合征”。这在双侧序贯性非动脉性前缺血性视神经病变(NAION)中可见。4,-,6或者视神经炎,4但任何事件导致视神经萎缩,随后急性对侧发作与椎间盘水肿可以类似。其他报道的病因包括特发性颅内高压,7梅毒,4创伤性视神经病变,4单侧视神经发育不全伴有Chiari畸形,8p-ANCA阳性厚膜脑膜炎,9继发非基底胶质瘤的NAION,10远端肿瘤导致直回移位,11还有一个脑膜瘤浸润上矢状窦。12文献中有一个被称为“伪-伪- foster - Kennedy综合征”的病例报告,视神经萎缩是由脑膜瘤直接压迫引起的,同时对侧神经因同时的NAION而肿胀。13

前庭耳蜗神经是颅内神经鞘瘤最常见的部位,三叉神经神经鞘瘤较为罕见,占颅内肿瘤的比例不到1%。14这些肿块往往是实体瘤,但囊性变性很少发生在大约7%的三叉神经鞘瘤中。15这可能是由于瘤内出血、中心缺血、坏死或退行性改变。14治疗通常包括手术切除,尽管立体定向放射手术可用于较小的病变。14

在这种情况下,我们描述了一个患者表现为视力丧失和一系列的发现,提供了神经解剖学定位线索:福斯特肯尼迪综合征,脑神经瘫痪,运动和感觉三叉神经受累,和怀疑颞叶发作局灶性意识癫痫。福斯特-肯尼迪综合征的神经眼科检查结果对认识和提示神经影像学检查很重要。据我们所知,这是由三叉神经鞘瘤引起的福斯特肯尼迪综合征的第一例报道。

研究资金

作者报告说没有针对性的资金。

信息披露

作者报告没有相关披露。去半岛投注体育官网Neurology.org/N全面披露。

附录的作者

表格

脚注

  • 去半岛投注体育官网Neurology.org/N全面披露。作者认为相关的资金信息和披露(如果有的话)将在文章末尾提供。

  • 提交并经外部同行评审。处理编辑是驻地和部门编辑Whitley Aamodt,医学博士,公共卫生硕士。

  • 收到了2022年7月4日。
  • 最终接受2022年11月1日。
  • ©2022美国神经病学学会半岛投注体育官网

参考文献

  1. 1.↵
    1. Lotfipour年代,
    2. 辣椒K,
    3. 卡恩晶澳,
    4. 省长T,
    5. Rudkin年代
    .一个不寻常的表现额下脑膜瘤:一例报告和文献复习福斯特肯尼迪综合征.急诊医学实习生。2011;6(3.):267-269.doi:10.1007 / s11739 - 010 - 0437 - y
    OpenUrl CrossRef PubMed
  2. 2.↵
    1. 未完结的毫升
    .处理“缺陷”培养肯尼迪和威廉伦诺克斯的优生学.半岛投注体育官网神经学。2003;61(5):668-673.doi:10.1212 / WNL.61.5.668
    OpenUrl 免费的全文
  3. 3.↵
    1. SchieferU,
    2. Isbert米,
    3. MikolaschekE,et al。
    与交叉病变相关的盲点分布模式,特别涉及前连接综合征.Graefes Arch临床经验眼科药。2004;242(6):468-477.doi:10.1007 / s00417 - 004 - 0863 - 5
    OpenUrl CrossRef PubMed
  4. 4.↵
    1. 宝贝新泽西,
    2. 史密斯莱托
    .福斯特·肯尼迪综合症的非肿瘤病因.J Neurosurg。1967;27(1):37-44.doi:10.3171 / JNS.1967.27.1.0037
    OpenUrl CrossRef PubMed
  5. 5.↵
    1. 帕蒂尔一个,
    2. Takkar一个,
    3. Goyal米,
    4. 辛格R,
    5. 拉尔V
    .连续NAION表现为伪福斯特·肯尼迪综合征.神经科学。2017;376:49-51.doi:10.1016 / J.JNS.2017.02.002
    OpenUrl CrossRef
  6. 6.↵
    1. Lepore菲,
    2. Yarian戴斯。莱纳姆:
    .模仿福斯特·肯尼迪的“准确诊断标志”.安角膜切削。1985;17(7):411-412.
    OpenUrl PubMed
  7. 7.↵
    1. Micieli晶澳,
    2. Al-Obthani米,
    3. 他一个的
    .特发性颅内高压所致的伪福斯特-肯尼迪综合征.可以J眼药水。2014;49(4):e99- - - - - -e102.doi:10.1016 / J.JCJO.2014.05.002
    OpenUrl CrossRef
  8. 8.↵
    1. 邦萨尔年代,
    2. DabbsT,
    3. 长V
    .单侧视神经发育不全致伪福斯特-肯尼迪综合征1例.J医学病例代表。2008;2:86.doi:10.1186 / 1752-1947-2-86
    OpenUrl CrossRef
  9. 9.↵
    1. TamaiH,
    2. TamaiK,
    3. 汤H
    .厚膜脑膜炎伴伪福斯特-肯尼迪综合征.Am J Ophthalmol。2000;130(4):535-537.doi:10.1016 / s0002 - 9394 (00) 00566 - 3
    OpenUrl CrossRef PubMed
  10. 10.↵
    1. Limaye老,
    2. 阿德勒J
    .前缺血性视神经病变和非基底胶质瘤患者的伪福斯特肯尼迪综合征.临床神经眼科。1990;10(3.):188-192.
    OpenUrl PubMed
  11. 11.↵
    1. 德赛N,
    2. 勇RL,
    3. Doshi一个,
    4. 洛克JC
    .伪福斯特-肯尼迪综合征伴视神经直回压迫.半岛投注体育官网神经学。2015;85(4):385-385.doi:10.1212 / WNL.0000000000001791
    OpenUrl 摘要/免费的全文
  12. 12.↵
    1. SemeraroF,
    2. ForbiceE,
    3. 杜丝年代,
    4. CostagliolaC
    .伪福斯特肯尼迪综合征,年轻女性脑膜瘤浸润上矢状窦.clinin Neurol神经外科。2012;114(3.):272-274.doi:10.1016 / J.CLINEURO.2011.10.018
    OpenUrl CrossRef PubMed
  13. 13.↵
    1. Gelwan乔丹,
    2. 塞德曼米,
    3. Kupersmith乔丹
    .伪福斯特-肯尼迪综合症.临床神经眼科。1988;8(1):49-52.
    OpenUrl PubMed
  14. 14.↵
    1. Ortega-Merchan国会议员,
    2. 雷耶斯F,
    3. Mejia晶澳,
    4. 里维拉DM,
    5. GalvisJC,
    6. 马尔克斯JC
    .囊性三叉神经鞘瘤.Radiol案例代表2019;14(12):1513.doi:10.1016 / J.RADCR.2019.09.031
    OpenUrl CrossRef
  15. 15.↵
    1. Wanibuchi米,
    2. 福岛T,
    3. Zomordi基于“增大化现实”技术,
    4. 野中郁次郎Y,
    5. 弗里德曼啊
    .三叉神经鞘瘤:105例颅底入路及手术结果.神经外科2012;70(1辅助操作工):132- - - - - -143.doi:10.1227 / NEU.0B013E31822EFB21
    OpenUrl CrossRef PubMed

信件:快速在线通信

本文尚未发表评论。
评论

需求

如果你要上传关于文章的信件:
您必须在六个月内更新您的披露:http://submit.半岛投注体育官网neurology.org

您的合著者必须发送一份完整的出版协议表格来半岛投注体育官网(对于主要/通讯作者不需要填写以下表格即可),然后再上传您的评论。

如果你在回复一篇关于你最初撰写的文章的评论:
您(和共同作者)不需要填写表格或检查披露,因为作者表格仍然有效
并适用于信件。

提交规格:

  • 文章必须少于200字,参考文献少于5篇。参考文献1必须是你所评论的文章。
  • 投稿者不得超过5人。(例外:原作者回复可以包括文章的所有原作者)
  • 只可提交发稿日起6个月内发表的文章。
  • 不要冗余。在提交之前阅读文章上已经发布的任何评论。
  • 提交的意见在发表前须经过编辑和编辑审查。

更多关于争议和辩论的指南和信息

写评论

更多关于文本格式的信息

纯文本

  • 不允许使用HTML标记。
  • 网页地址和电子邮件地址会自动变成链接。
  • 行和段自动中断。
作者信息
注意:第一作者必须是注释的通讯作者。
名字,名,名“彼得”。
你的姓或姓。“MacMoody”。
你的电子邮件地址,例如higgs-boson@gmail.com
你的角色和/或职业。“整形外科医生”。
所属机构或机构(如适用),例如"皇家自由医院"
出版协议
注意:除第一作者/通讯作者外,所有作者必须单独填写一份出版协议表格并在发表评论之前通过电子邮件提供给编辑部。
验证码
这个问题是为了测试你是否是一个人类访问者,并防止自动发送垃圾邮件。

垂直制表符

你可能也感兴趣

回到顶部
  • 文章
    • 摘要
    • 珍珠
    • Oy-sters
    • 讨论
    • 研究资金
    • 信息披露
    • 附录的作者
    • 脚注
    • 参考文献
  • 图表和数据
  • 信息和披露
广告

全基因组测序在线粒体疾病诊断中的应用

罗伯特·皮特西利医生和威廉·麦肯医生

►看

相关文章

  • 没有相关文章。

主题讨论

  • 所有Neuro-ophthalmology
  • 临床神经病学史半岛投注体育官网
  • 视神经
  • 临床神经病学检查半岛投注体育官网

提醒我

  • 信件发表时通知我
半岛投注体育官网神经学:100 (12)

文章

  • 印刷前
  • 最新一期
  • 过去的问题
  • 受欢迎的文章
  • bdappcom

关于

  • 关于期刊
  • 道德政策
  • 编辑和编委会
  • bdapp.
  • 做广告

提交

  • 作者中心
  • 提交手稿
  • 审稿人信息
  • 河畔的指导方针
  • 权限

用户

  • 订阅
  • 激活订阅
  • 注册eAlerts
  • RSS提要
网站的标志
  • 访问Face半岛投注体育官网book上的neurology Template
  • 在Twitte半岛投注体育官网r上关注neurology Template
  • 在YouTu半岛投注体育官网be上访问神经病学
  • 半岛投注体育官网
  • 半岛投注体育官网神经学:临床实践
  • 半岛投注体育官网神经学:教育
  • 半岛投注体育官网神经学:遗传学
  • 半岛投注体育官网神经学:神经免疫学与神经炎症学
  • AAN.com
  • AANnews
  • 连续体
  • 大脑与生命
  • 半岛投注体育官网今天神经学

威科集团标志

半岛投注体育官网神经学|打印ISSN:0028-3878
在线ISSN: 1526 - 632 x

半岛综合体育官方app下载ios

  • 隐私政策
  • 反馈
  • 做广告
Baidu
map